Aparelhos dentários

Alinhe seu sorriso com segurança: Conheça os tratamentos Ortodônticos

Mobirise Website Builder

Você sabia que ter dentes bem alinhados vai muito além da estética? Um sorriso harmonioso também está diretamente ligado à sua saúde bucal, mastigação, respiração e até à sua autoestima. Com os tratamentos ortodônticos, é possível corrigir o posicionamento dos dentes e dos ossos da face, proporcionando benefícios duradouros para a saúde e beleza do seu sorriso.
Na nossa clínica, oferecemos diversas opções de aparelhos ortodônticos para atender às necessidades e expectativas de cada paciente — de crianças a adultos. Aqui, você encontra tecnologia, conforto e resultados comprovados.

O que é ortodontia ?

A ortodontia é a especialidade da odontologia responsável por corrigir o mau posicionamento dos dentes e dos ossos maxilares. Dentes tortos, apinhados, separados ou uma mordida “errada” (como sobremordida ou mordida cruzada) podem causar problemas estéticos e funcionais.
Essas alterações podem afetar a mastigação, a fala, a respiração, e até levar ao desgaste dos dentes e dores na articulação da mandíbula. O tratamento ortodôntico visa reposicionar os dentes corretamente, promovendo saúde bucal e um sorriso mais bonito.

Como funciona o tratamento ortodôntico ?

O primeiro passo é realizar uma avaliação completa com o ortodontista. Serão feitos exames clínicos, radiografias, fotografias e moldagens (ou escaneamento digital) para montar um plano de tratamento personalizado.

Com base nesse diagnóstico, o dentista escolhe o tipo de aparelho mais indicado para seu caso, e define o tempo estimado de tratamento. Em média, os tratamentos ortodônticos duram entre 12 e 36 meses, variando conforme a complexidade de cada paciente.

Durante o tratamento, o paciente realiza consultas periódicas para acompanhar a movimentação dos dentes e realizar os ajustes necessários.

Quais são os tipos de aparelhos ortodônticos ?

Existem diferentes tipos de aparelhos, desde os mais tradicionais até os mais modernos e discretos. Conheça os principais:

    1. Aparelho fixo metálico — É o modelo mais conhecido e utilizado. Composto por bráquetes metálicos colados nos dentes e fios ortodônticos que fazem a movimentação. É eficiente, resistente e costuma ser mais acessível.
    2. Aparelho fixo estético — Tem a mesma função do aparelho metálico, mas é feito com materiais mais discretos, como porcelana ou safira. É indicado para quem busca mais discrição durante o tratamento.
    3. Aparelho autoligado — Parecido com o aparelho fixo, mas com um sistema de bráquetes que não usa borrachinhas para prender o fio. Isso reduz o atrito, acelera a movimentação dos dentes e exige menos manutenções.
    4. Aparelho móvel — Geralmente usado em crianças, para guiar o crescimento ósseo ou manter os dentes na posição correta após o uso de aparelho fixo. Também pode ser usado como contenção no final do tratamento.
    5. Alinhadores invisíveis (como Invisalign) — São placas transparentes e removíveis feitas sob medida que alinham os dentes de forma progressiva. Extremamente discretos, confortáveis e fáceis de higienizar, os alinhadores são ideais para adultos que buscam uma alternativa estética e moderna.

Em alguns casos selecionados, é possível realizar o implante com carga imediata, onde a prótese é instalada no mesmo dia da cirurgia

Quais são os benefícios da ortodontia ?

• Alinhamento correto dos dentes
• Melhora na mastigação, fala e respiração
• Prevenção de desgastes e problemas na articulação da mandíbula
• Sorriso mais bonito e harmonioso
• Aumento da autoestima e confiança
• Facilidade na higienização bucal pós tratamento

Para todas as idades

Ao contrário do que muitos pensam, o tratamento ortodôntico não é só para crianças e adolescentes. Cada vez mais adultos têm buscado corrigir o sorriso com aparelhos estéticos ou alinhadores invisíveis, com excelentes resultados.

Agende sua avaliação e comece sua transformação!

Se você deseja alinhar seus dentes com conforto, segurança e tecnologia de ponta, agende agora sua avaliação com nossos especialistas. Estamos prontos para montar o melhor plano de tratamento para o seu sorriso.

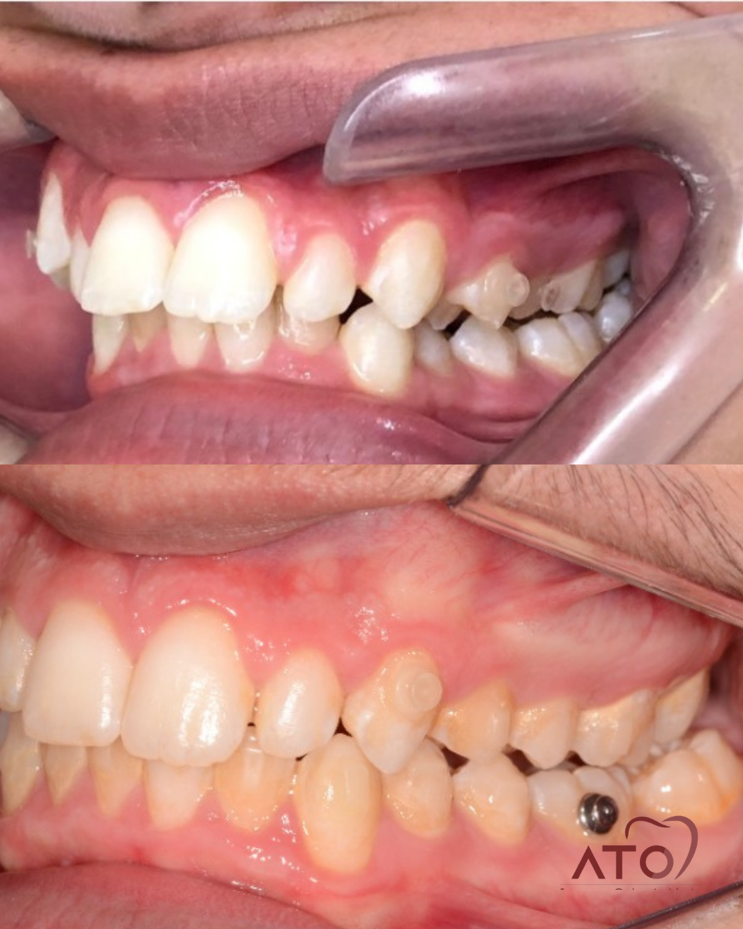
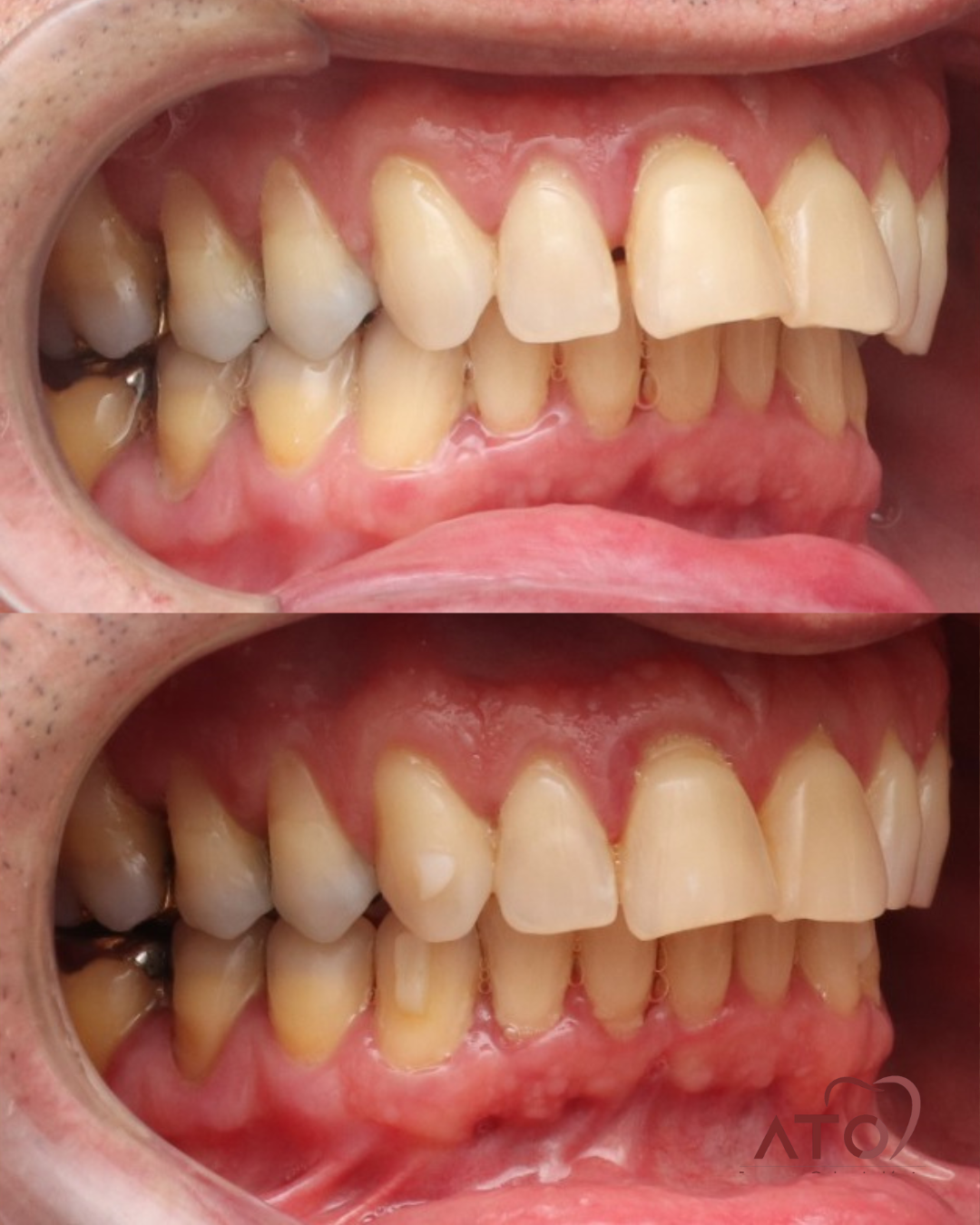
Alguns resultados

Mobirise Website Builder
Mobirise Website Builder
Mobirise Website Builder
Nossos contatos
  • WhatsApp: (21)99976-7477
  • Endereço: Estr. dos Três Rios, 348 - Loja B - Freguesia (Jacarepaguá)
  • Horário de funcionamento: 9:00AM - 6:00PM
  • Instagram: @atoespacoodontologico

Best AI Website Creator