Facetas Dentárias

Transforme seu sorriso com Facetas Dentárias

Mobirise Website Builder

Você já sonhou em ter um sorriso perfeito, alinhado e com dentes brancos como os das celebridades? As facetas dentárias podem tornar isso realidade de forma rápida, segura e minimamente invasiva. Elas são uma das soluções mais modernas da odontologia estética e têm mudado a vida de milhares de pessoas que desejam melhorar a aparência do sorriso.

O que são facetas dentárias ?

As facetas dentárias são lâminas ultrafinas feitas de porcelana ou resina, que são coladas na parte frontal dos dentes para corrigir imperfeições estéticas. Elas são feitas sob medida para cada paciente, levando em consideração formato do rosto, cor da pele, sorriso e outros aspectos, garantindo naturalidade e harmonia facial.

Esse tratamento é ideal para quem deseja corrigir:

• Dentes amarelados ou manchados
• Dentes quebrados, lascados ou desgastados
• Pequenos desalinhamentos ou espaçamentos entre os dentes (diastemas)
• Dentes com tamanhos irregulares ou desproporcionais

Com as facetas, é possível conquistar um sorriso mais branco, alinhado e simétrico, sem a necessidade de ortodontia ou procedimentos demorados.

Tipos de facetas dentárias

Existem dois tipos principais de facetas:

      1. Facetas de resina composta
• Feitas diretamente no consultório, em uma única sessão
• Mais acessíveis financeiramente
• Boa estética, embora com menor durabilidade em comparação à porcelana
• Exigem manutenção periódica

      2.Facetas de porcelana
• Produzidas em laboratório e cimentadas em sessões posteriores
• Estética superior, com brilho e transparência muito semelhantes aos dentes naturais
• Alta durabilidade (podem durar mais de 10 anos com os cuidados certos)
• Resistentes a manchas

O dentista irá indicar o melhor tipo de faceta de acordo com seu caso, expectativas e orçamento.

Como é feito o tratamento ?

O processo é simples e normalmente envolve os seguintes passos:

    1. Avaliação inicial e planejamento do sorriso — Nesta etapa, o dentista analisa seu sorriso, escuta suas expectativas e pode realizar simulações digitais para visualizar como ficará o resultado final.
    2. Preparação dos dentes — No caso das facetas de porcelana, é feito um pequeno desgaste na superfície dos dentes para garantir a adaptação perfeita das lâminas. No caso das facetas de resina, esse desgaste pode ser mínimo ou nem ser necessário.
    3. Moldagem e confecção — São tiradas moldagens ou escaneamentos digitais que servem de base para a confecção das facetas em laboratório, no caso das de porcelana.
    4. Cimentação — As facetas são coladas cuidadosamente com um material adesivo resistente, ajustadas e polidas para garantir conforto e estética impecável.

Quais são os benefícios ?

• Sorriso transformado em poucos dias
• Correção de múltiplas imperfeições ao mesmo tempo
• Aparência natural e personalizada
• Aumento da autoestima e confiança
• Procedimento seguro e minimamente invasivo

As facetas danificam os dentes ?

Não. Quando realizadas por um profissional qualificado, as facetas são seguras e não prejudicam os dentes. O desgaste feito é mínimo e cuidadosamente calculado para preservar a estrutura dentária.

Cuidados após colocar facetas

• Evitar morder objetos duros ou abrir embalagens com os dentes
• Manter boa higiene bucal (escovação e uso de fio dental)
• Visitar o dentista regularmente para manutenção
• Evitar consumo excessivo de alimentos e bebidas com corantes (especialmente em facetas de resina)

Prontos para transformar seu sorriso ?

As facetas dentárias são a escolha ideal para quem deseja um sorriso mais bonito, alinhado e marcante. Na nossa clínica, oferecemos tecnologia de ponta, materiais de alta qualidade e profissionais especializados em estética dental para garantir o melhor resultado possível.

Agende agora uma avaliação e descubra como as facetas dentárias podem transformar não apenas seu sorriso, mas sua vida!

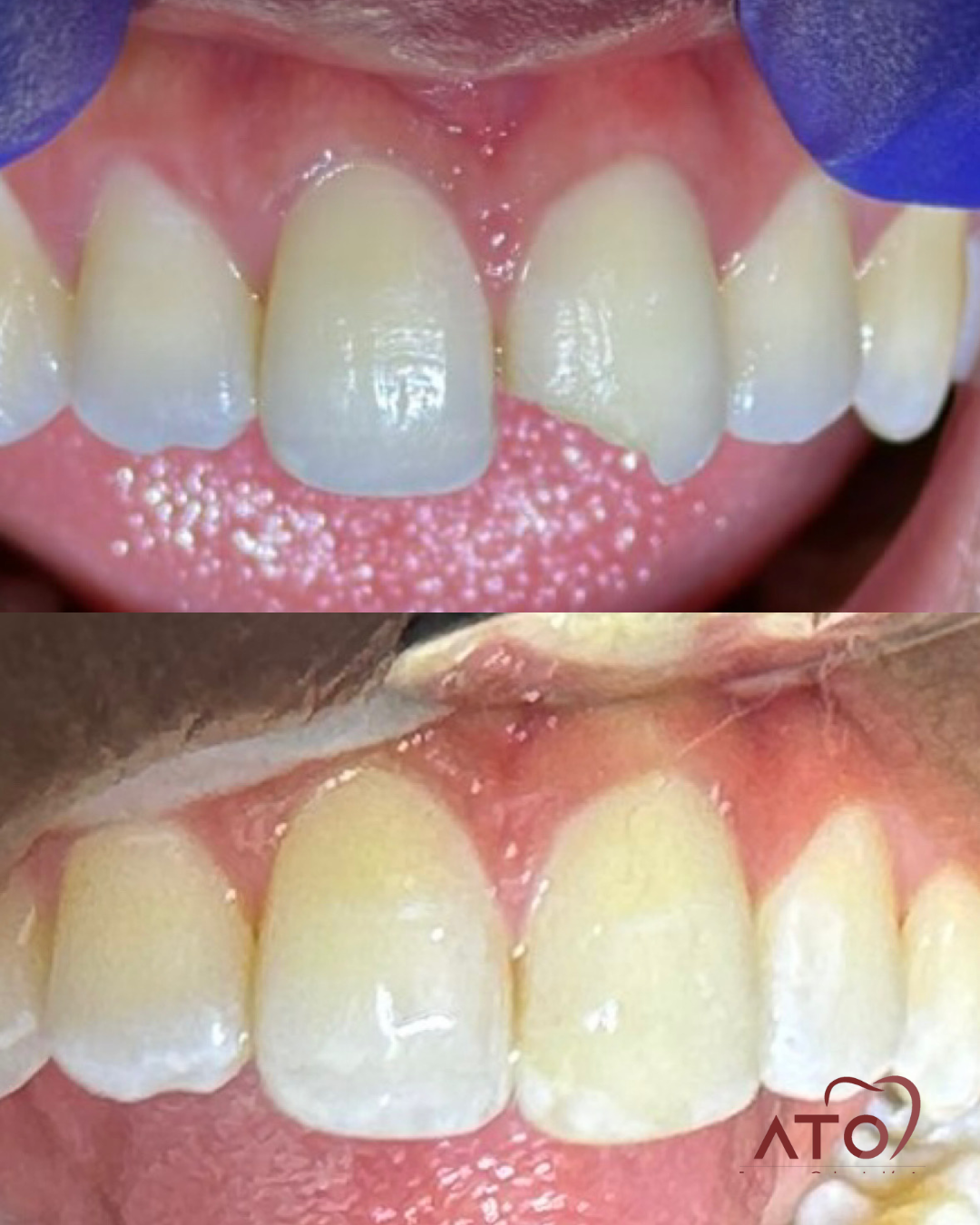
Alguns resultados

Mobirise Website Builder
Mobirise Website Builder
Mobirise Website Builder
Mobirise Website Builder

Best AI Website Maker